life-dental - Ihr Partner für modernste, digitale KFO-Technik
life-dental - Ihr Partner für modernste, digitale KFO-Technik

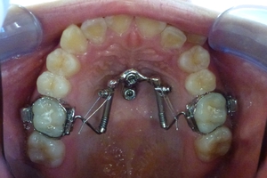
Der "Herborner Distal-Jet"

 

Der "Herborner Distal-Jet"

Abgestüzt auf Mondeal Knochanschrauben mit individuell gegossener Suprakonstuktion für maximale Verankerung in OK.

 

Der Distal-Jet Situ im Mund.

Die Ligaturendrähte ermöglichen

ein einfaches Einsetzen der aktiven Apparatur und dienen somit als Hilfe für den Behandler.

Mesial-Jet

Der "Herborner Expajet"

Expansion und Distallisation mit einem Gerät

NEU!

Mesial-Jet

Besuchen Sie doch auch mal unsere      life-dental Homepage! www.life-dental.de

Hier finden Sie uns

 

Rufen Sie einfach an oder nutzen Sie unser Kontaktformular

 

Labor life-dental

Austraße 1a

35745 Herborn

Telefon+492772-64648600

Telefax+492772-64648609

 

 

info@life-dental.de

www.life-dental.de

 

Unsere Öffnungszeiten

Mo.-Fr. : 08:00 - 13:00

             14:00 - 18:00

Druckversion | Sitemap
© Labor life-dental